Hodges Orthodontics offers a virtual smile assessment to save you time and help you begin the process of achieving a healthier and more beautiful smile.
Call or Text 805-498-1006 Newbury park location Moorpark Location
Here’s how it works:
Step 1: Take a picture
Use a digital camera or phone to replicate the photo angles described below.
Step 2: Grab a friend
Ask a friend or family member to help you take the photos to get the best images possible.
Step 3: Text Dr. Hodges
Text your photos to Dr. Hodges at 805-498-1006.
Step 4: Get Your Results
Dr. Hodges will review your photos and contact you as soon as possible!
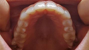
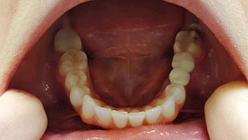
How to take the perfect smile snapshot...
Have a friend or family member serve as your photographer. This will help you get the best images possible for your virtual assessment. We recommend taking all photos from a seated position for the best results.




